- 斯坦福大學開發的柔性傳感器設備為治療癌癥開辟了新的可能性
- 來源:網易新聞 發表于 2022/11/11
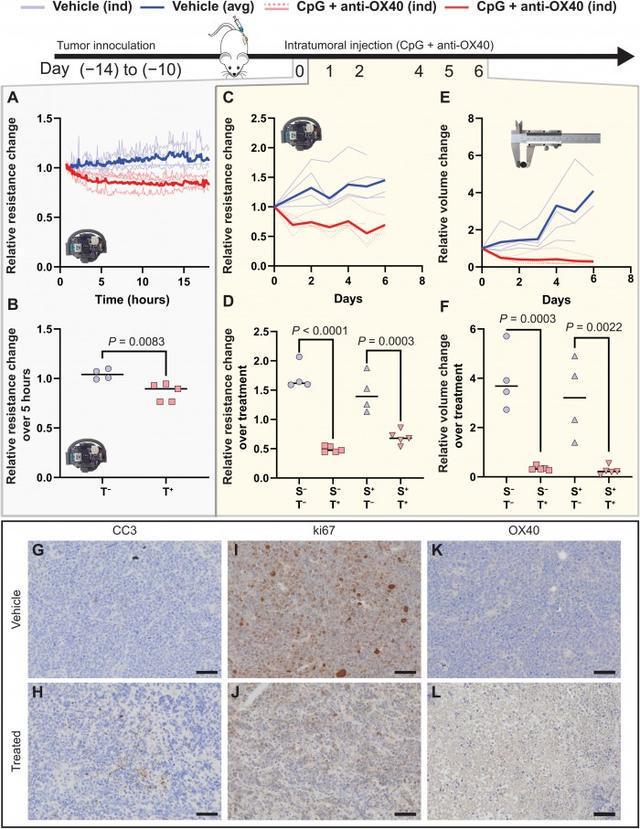
斯坦福大學的工程師們開發了一種緊湊、自主的設備,它有一個可拉伸的柔性傳感器,用于評估皮膚下腫瘤的變化大小。這種由電池供電的非侵入性設備可以實時向一個智能手機應用程序無線傳輸結果,并且對百分之一毫米(10微米)的微小事物足夠敏感。

研究人員聲稱,他們的FAST設備(代表"測量腫瘤的靈活自主傳感器")是一種全新的、快速的、負擔得起的、免提的和準確的評估癌癥藥物有效性的方法。在更大的范圍內,它可能為令人興奮的癌癥治療新方向鋪平道路。研究人員的發現最近發表在《科學進展》雜志上。
研究人員每年使用帶有皮下腫瘤的小鼠來測試成千上萬種潛在的癌癥藥物。很少有藥物能用于人類患者,而且開發新藥的過程很耗時,因為評估藥物治療后腫瘤消退的工具需要數周時間才能讀出反應。腫瘤固有的生物差異,現有測量技術的缺陷,以及相對有限的樣本量,使得藥物篩選具有挑戰性和勞動密集型。
該研究的第一作者、斯坦福大學工程學院化學工程系K.K. Lee教授鮑振南實驗室最近的一名博士后Alex Abramson說:"在某些情況下,被觀察的腫瘤必須用卡尺手工測量。"但使用金屬鉗子般的卡尺來測量軟組織并不理想,而且放射學方法不能提供實時評估所需的那種連續數據。FAST可以在分鐘級檢測腫瘤體積的變化,而卡尺和生物發光測量往往需要長達數周的觀察期才能讀出腫瘤尺寸的變化。


黃金的力量
FAST的傳感器由一種靈活的、可拉伸的皮膚狀聚合物組成,其中包括一層嵌入式的黃金電路。這個傳感器與一個由前博士后和共同作者Yasser Khan和Naoji Matsuhisa設計的小型電子背包相連。該設備測量膜上的應變--它拉伸或收縮的程度--并將該數據傳輸到智能手機上。使用FAST背包,與腫瘤大小回歸有關的潛在療法可以迅速而有把握地被排除無效數據,或協助醫務人員快速介入進一步研究。
基于對小鼠的研究,研究人員說,新設備至少提供了三個重大進展。首先,它提供了連續監測,因為傳感器與小鼠物理連接,并在整個實驗期間保持原位。第二,靈活的傳感器包裹著腫瘤,因此能夠測量其他方法難以辨別的形狀變化。第三,FAST既是自主的又是非侵入性的。它與皮膚相連--與粘性繃帶不一樣--由電池驅動并以無線方式連接。鼠標可以自由移動,不受設備或電線的束縛,而且科學家不需要在傳感器放置后主動處理小鼠。FAST包也是可重復使用的,組裝成本僅為60美元左右,并且可以在幾分鐘內連接到小鼠身上。
突破之處在于FAST的柔性電子材料。涂在皮膚狀聚合物上面的是一層金,當被拉伸時,會出現小裂縫,改變材料的導電性。拉伸材料,裂縫的數量增加,導致傳感器的電子電阻也增加。當材料收縮時,裂縫重新接觸,導電性能得到改善。
Abramson和共同作者、東京大學副教授Matsuhisa都描述了這些裂縫的擴展和電導率的指數變化如何在數學上等同于尺寸和體積的變化。
研究人員必須克服的一個障礙是擔心傳感器本身可能會通過對腫瘤施加不適當的壓力,有效地擠壓它而影響測量。為了規避這一風險,他們仔細地將柔性材料的機械性能與皮膚本身相匹配,使傳感器像真正的皮膚一樣柔韌和柔軟。
"這是一個具有欺騙性的簡單設計,"Abramson說,"但這些固有的優勢應該對制藥和腫瘤學界非常有趣。FAST可以大大加快、自動化和降低癌癥療法的篩選過程的成本"。
- 如果本文收錄的圖片文字侵犯了您的權益,請及時與我們聯系,我們將在24內核實刪除,謝謝!















